menu
Á¤º¸ À̾߱â
»õ·Î¿î ¼Ò½ÄÀ» ¾È³»ÇØ µå¸³´Ï´Ù.
Á¶È¸¼ö 2027
Á¦¸ñ Ä¡ÁÖÁúȯ ¹ß»ýÀ» ¿¹¹æÇÏ´Â ºñŸ¹Î D ÀÛ¿ë ¿ø¸®
20081215_08

[±×¸²]  ºñŸ¹ÎD´Â žçÀÌ ÁÖ´Â ¼±¹°ÀÌ´Ù. ÃæºÐÈ÷ žçºûÀ» ¹ÞÀ¸¸é ÀÚ¿¬ÀûÀ¸·Î ÇǺθ¦ ÅëÇØ

             ºñŸ¹ÎD°¡ ü³»¿¡ »ý»êµÈ´Ù. »ç¶÷Àº ÇÞºûÀ» ¹ÞÀ¸¸ç »ì¾Æ°¡´Â °ÍÀÌ ¼·¸®ÀÎ °ÍÀÌ´Ù.



ºñŸ¹Î Áß¿¡¼­ ´©±¸³ª °áÇÌ µÇ±â ½¬¿î °ÍÀÌ ¹Ù·Î ºñŸ¹ÎD ÀÌ´Ù.



ƯÈ÷ µµ½ÃÈ­µÈ »îÀ» »ç´Â Çö´ëÀεéÀÇ °æ¿ì ÇÞºû¿¡ ³ëÃâµÇ´Â

½Ã°£ÀÌ ÇöÀúÈ÷ ÁÙ¾îµé¾î ¿À´Ã³¯ ºñŸ¹ÎD°¡ °áÇÌµÈ È¯ÀÚµéÀÌ ¸¹´Ù.



ºñŸ¹ÎD°¡ Ä¡ÁÖ Áúȯ¿¡¼­µµ

¿¹¹æ È¿°ú°¡ ÀÖ´Ù´Â »ç½ÇÀÌ ¹àÇôÁ³´Ù.



20100819_01

[±×¸²]  ºñŸ¹ÎD´Â ÀÎü ³»¿¡¼­ ½Ç·Î ¸¹Àº ¿ªÇÒÀ» Çϰí ÀÖ´Ù.

¡¡¡¡¡¡ »ÀÀÇ Çü¼ºÀ» °üÀåÇϰí, ¸é¿ªÃ¼°è¸¦ Á¶ÀýÇϸç, ³ú½Å°æ¼¼Æ÷ÀÇ º¸È£ÀÛ¿ëµµ Çϰí ÀÖ´Ù.

¡¡¡¡¡¡ ºñŸ¹ÎD°¡ µ¶°¨À» ¿¹¹æÇϰí, ¾ÏÀ» ¿¹¹æÇÏ´Â °ÍÀº ÀÌ·¯ÇÑ ´Ù¾çÇÑ ÀÛ¿ë ÁßÀÇ ÇϳªÀÌ´Ù.



ÀÌ´Â ºñŸ¹ÎD°¡ ±¸°­ÀÇ ¸é¿ª ±â´ÉÀ» °­È­ ½Ã۱⠶§¹®ÀÌ´Ù.



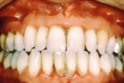
20100930_01

[±×¸²]  Ä¡ÁÖ Áúȯ ÁßÀÇ ÇϳªÀÎ Ä¡ÁÖ¿°¿¡ ÀÇÇÑ ÀÕ¸ö ¿°Áõ »óÅÂ,

¡¡¡¡¡¡ ½ÉÇϸé Ä¡¾Æ¸¦ ÀÒÀ» ¼öµµ ÀÖ´Ù.



ÀÌ´Â ¹Ì±¹ÀÇ ¿©·¯ Ä¡°ú ´ëÇÐ(³ë½ºÄɷѶóÀ̳ª ´ëÇÐ µî)ÀÇ

¿¬±¸ °á°úÀÌ¸ç ¹Ì±¹ Ä¡ÁÖº´ÇÐ Çмú Áö ÃÖ½ÅÈ£¸¦ ÅëÇØ ¹ßÇ¥µÈ °ÍÀÌ´Ù.



±¸°­ÀÇ ¸é¿ª ±â´É °­È­ ÀÛ¿ë



³Î¸® ¾Ë·ÁÁø ¹Ù¿Í °°ÀÌ ºñŸ¹ÎD´Â ¸é¿ª ±â´ÉÀ» °­È­ÇÏ¿©

Æó·Å±ÕÀ̳ª °áÇÙ±ÕµîÀ» Á¦°ÅÇÏ´Â ÀÛ¿ëÀ» ¹ßÈÖÇÑ´Ù.

 


20100930_02

[±×¸²] ºñŸ¹ÎD´Â ¸é¿ª¼¼Æ÷¿¡ ÀÛ¿ëÇÏ¿© ¿ÜºÎÀÇ ¹ÙÀÌ·¯½º³ª ¼¼±ÕÀÇ Ä§ÀÔÀ» ¸·¾Æ³»´Â  ¿ªÇÒÀ» ÇÑ´Ù.

¡¡¡¡¡¡Ãµ¿¬ Ç×»ýÁ¦ÀÎ Cathelicidin À» ºÐºñÄÉ ÇÏ¿© Æó·Å±ÕÀ» Á¦°ÅÇÑ´Ù.



¶ÇÇÑ ºñŸ¹ÎD´Â »ÀÀÇ Çü¼ºÀ» ÃËÁøÇÏ´Â ¿ªÇÒÀ» ÇÏ¿©, Ä¡¾ÆÀÇ

»óŸ¦ À¯ÁöÇϴµ¥ Áß¿äÇÑ ¿ªÇÒÀ» ÇÑ´Ù.



ÀÌ¿Í °°Àº µÎ °¡Áö ¿ø¸®¸¦ ÅëÇØ ºñŸ¹ÎD´Â Ä¡ÁÖÁúȯÀÇ ¿øÀÎÀÌ µÇ´Â

¼¼±Õµé¿¡ ´ëÇÑ ¸é¿ª·ÂÀ» Çâ»ó½Ã۰í, Ä¡¾ÆÀÇ À¯Áö¿¡ µµ¿òÀ» ÁÖ¾î

Ä¡ÁÖÁúȯÀÇ ¹ß»ýÀ» ¿¹¹æ ÇÒ ¼ö ÀÖ´Ù.



À̹ø ¿¬±¸ °á°ú¿¡ µû¸£¸é, ºñŸ¹ÎD°¡ ¸ðÀÚ¶ó´Â ÀÓ»êºÎ¿¡¼­´Â

Ä¡ÁÖÁúȯÀÌ 2.1¹è Áõ°¡ÇÏ¿´´Ù.



20100930_03



Áï, Ä¡ÁÖ ÁúȯÀ» ¿¹¹æÇϱâ À§Çؼ­´Â Æò¼Ò ²ÙÁØÈ÷

ºñŸ¹ÎD¸¦ ¼·ÃëÇØ¾ß ÇÑ´Ù´Â °ÍÀÌ´Ù.



[±Ù°Å]

Journal of Periodontology. 2010 posted online on 1 September

Vitamin D Status and Periodontal Disease Among Pregnant Women

Kim A. Boggess MD, Janice A. Espinola MPH, Kevin Moss, Jim Beck PhD, Steven Offenbacher PhD, and Carlos A. Camargo Jr., DrPH

Journal of Periodontology. 2010 posted online on 1 September

One-Year Effects of Vitamin D and Calcium Supplementation on Chronic Periodontitis

M. Nathalia Garcia, D.D.S., Charles F. Hildebolt, D.D.S., Ph.D.,

D. Douglas Miley, D.M.D., M.S.D.*¢Ó, Debra A. Dixon, D.M.D.¡×,

Journal of Periodontology. 2009, Vol.80, No.9, Pages 1433~1439

Cross-Sectional Study of Vitamin D and Calcium Supplementation Effects on Chronic Periodontitis

D. Douglas Miley,*¢Ó M. Nathalia Garcia,*¢Ó Charles F. Hildebolt,¢Ô William D. Shannon,¡× Rex A. Couture,¢Ô Catherine L. Anderson Spearie,Debra A. Dixon,¢Ò Eric M. Langenwalter,#







Ãßõ¼ö 404
³»¿ë¸¸Á·µµ
´äº¯ ³»¿ë ¸¸Á·µµ Á¶»ç´Â ÇâÈÄ ´õ ÁÁÀº ¼­ºñ½º¸¦ À§ÇÑ µ¥ÀÌÅÍ·Î »ç¿ëµË´Ï´Ù.

»ó´ã¾È³»

010. 6605 . 4128

±Ã±ÝÇÑ Á¡Àº ¿Â¶óÀλó´ã ¹× ÀüÈ­·Î ¹®ÀÇÇϽøé
ÀÚ¼¼ÇÏ°Ô ¾È³»ÇØ µå¸®°Ú½À´Ï´Ù.

¿Â¶óÀÎ 1:1 ¹®ÀÇ